Brilliant care and attention to my teeth very professional and understanding thank you⭐️
The Instant
Smile Makeover
Imagine ironing out all those niggling issues you have with your smile with one small treatment. A single, painless procedure. A treatment that lets you walk away the same day with everything done!
Sounds like a dream, doesn’t it?
Chips, cracks, stains, broken or misshapen teeth —all easily fixed using composite bonding. A treatment that doesn’t involve replacing or crowning the tooth. This marriage of scientific precision and artistry might sound too good to be true, but it’s not.
At COCO Dental, we’ve perfected so many smiles using composite bonding. The results have to be seen to be believed.
GET IN TOUCH WITH US
Composite Perfection
Unlike veneers or crowns, composite bonding doesn’t rely on dental prosthetics to make big changes to your smile. Instead, we use a tooth-coloured composite resin.
The resin is applied and shaped on your teeth. We’re proud of the smiles we enhance with this technique. And we know you’ll be proud of the outcome.
Let’s Bond!
This elegantly simple procedure starts with assessing your teeth and discussing what you want to change. Next, we will plan the steps to create your ideal smile and find the exact shade of resin needed.
Then the magic happens. We apply the resin to your teeth before sculpting it to perfection. This step is where precision meets panache. Here, we carefully disguise imperfections while seamlessly blending the resin into your surrounding smile.
Once we’ve achieved the perfect shape and texture, it’s time to set the resin. We use a special light to harden the resin. Our final step is to polish your newly fixed teeth to remove unwanted edges.
There’s no downtime, and life can go on as normal afterwards, although we recommend sticking to softer foods for a short time after the prcedure while your improvements bed in.
GET IN TOUCH WITH USWhy Choose Composite Bonding at COCO?
Beautifully Bespoke
This adaptable procedure can be tailored to the needs of any smile. We don’t use a cookie-cutter approach here.
The results are as unique as you!
Flawless Finesse
Even up close, our work goes undetected. Our improvements are subtle, natural, and highly effective—because your smile is worth it.
Perfectly Painless
No drills. No needles. No anaesthesia— No pain. This patient-friendly procedure is one of the least invasive in modern dentistry.
Smile Simplicity
The beauty of composite bonding is its simplicity. We can often complete the whole process in a single day —without complex preparation or any downtime.
Meet COCO’s
Composite Guru
Here’s someone we’d like you to meet: Dr Raj is our resident expert in the art and science of composite bonding.
With a keen eye for aesthetics and a masterful touch, Dr Raj has transformed countless smiles, turning dental imperfections into stunning works of art.
Dr Raj’s passion for composite bonding stems from its ability to create dramatic improvements with minimal intervention.
His expertise allows him to sculpt and shape composite resin with precision, ensuring that each smile makeover is as unique as you are.
GET IN TOUCH WITH USSee What’s Possible with a Bit of Bonding Magic!
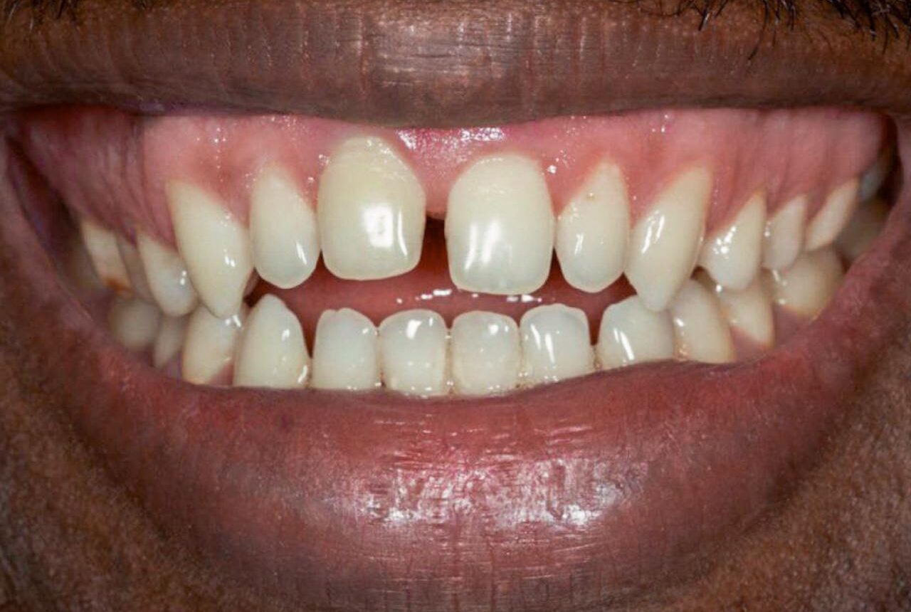
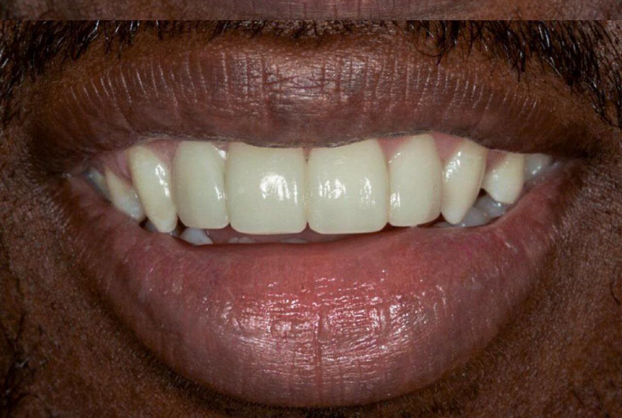
Take a look at COCO patients who’ve enhanced their smiles with our expert composite bonding treatment.
Before
After
Composite Bonding
Before
After
Composite Edge Bonding
Before
After
Composite Edge Bonding
Before
After
Composite Bonding
Before
After
Composite Bonding
Before
After
Invisalign+Composite Edge Bonding
Before
After
Composite Edge Bonding
Before
After
Composite Bonding
Before
After
Composite Bonding
Before
After
Composite Bonding
Before
After
Composite Bonding
COCO Composite Bonding
Swipe to view
Composite Essential Edge£250 / toothEdge Bonding is the perfect solution for minor dental imperfections. Designed for small repairs, such as chips, cracks, and edge wear, this option helps restore the natural appearance of your teeth with minimal intervention. |
Composite Bond Advanced£350 / toothAdvanced Composite Bonding offers a comprehensive solution for those looking to improve the overall appearance of their teeth. |
Composite Bond Signature£425 / toothFor those seeking the pinnacle of dental artistry, Signature Composite Bonding provides a fully customised solution that combines aesthetics with functionality. |
|
|---|---|---|---|
|
Purpose
|
Small repairs and touch-ups |
Full surface transformation |
Fully customised smile makeover |
|
Material Quality
|
High-quality composite resin |
High-quality composite resin |
Premium composite resin |
|
Scope of Work
|
Small chips, cracks, edge wear |
Complete surface bonding |
Full smile transformation |
|
Customisation
|
No |
Moderate customisation |
Full customisation with 3D diagnostic planning |
|
Aesthetic Focus
|
Subtle repairs |
Advanced natural appearance |
Fully customised anatomical details |
|
Durability
|
Good |
High |
Highest |
|
3D Diagnostic Planning
|
No |
No |
Yes |
|
Smile Preview
|
No |
No |
Yes |
|
Ideal for Full Smile Makeover
|
No |
Yes |
Yes |
|
Longevity
|
Long-lasting (3-5 years) |
Long-lasting (3-5 years) |
Long-lasting (3-5 years) |
Flexible Finance Options Available
We offer 0% APR finance for up to 12 months, helping you spread the cost of your treatment with ease. Need longer? We also provide extended finance plans of up to 5 years, with competitive rates starting from 9.9% APR — giving you the freedom to choose a payment plan that suits your budget.
Don’t Take Our Word For it…
See why over 500 Patients have given COCO Dental 5-Star ratings on Google
You will not be disappointed by this practice . Juliet on reception goes above and beyond to make you feel at ease and comfortable. She is kind and patient and goes the extra mile to try her hardest to get you an appointment. She makes a daunting experience more comfortable.and has been fabulous with my mum.
I went to COCO Dental for an Invisalign and composite bonding treatment to improve my smile and I am overwhelmed with the results. Dr Rajan and the COCO Dental staff were always professional, super friendly and helpful throughout the journey. The process took about 6-7 months with regular check-ups along the way. I am so happy with the results and couldn’t recommend the service more 🙂
I wanted to take a moment to express my deepest gratitude to Dr. Rajan for the exceptional care and support he provided during my recent tooth restoration. As someone who is quite sensitive and not always easy to treat, his patience and expertise truly made all the difference. My restored tooth feels amazing, and I am incredibly thankful for his skillful hands and compassionate approach.
Great experience with COCO Dental I had my composite bonding done and it looks great highly recommended for any dental treatments as well.
I wanted to take a moment to express my deepest gratitude to Dr. Rajan for the exceptional care and support he provided during my recent tooth restoration. As someone who is quite sensitive and not always easy to treat, his patience and expertise truly made all the difference. My restored tooth feels amazing, and I am incredibly thankful for his skillful hands and compassionate approach.
Visited COCO Dental Practice today and I was so impressed by the improvements made to the surgery, Every member of staff were first class. I was treated efficiently and effectively, with respect, dignity and humour. The receptionist went out of their way to ensure my safety on leaving the practice too.
I’ve had a great experience with my braces treatment! The process has been smooth, and I’m so happy with the end result
Great dentists and great people! Can always check in with them for any questions, and they think with you to get you the best care.
The entire Coco Dental team are incredible. They’re the first practice that I’ve felt truly comfortable and safe in. My first experience with them was the quickest, pain free extraction ever. I later went on to have composite bonding done by Dr Rajan and the results were fantastic. A complete smile transformation. Thank you so much to the team at Coco for making my experience so wonderful.
From start to finish I am more then impressed by my implants that I have had done. The staff are so friendly and a big thank you to manny Singh and his team.
The entire Coco Dental team are incredible. They’re the first practice that I’ve felt truly comfortable and safe in. My first experience with them was the quickest, pain free extraction ever. I later went on to have composite bonding done by Dr Rajan and the results were fantastic. A complete smile transformation. Thank you so much to the team at Coco for making my experience so wonderful.
I had a hygiene session at Coco dental and had an amazing experience. The staff were extremely friendly and helpful. I would recommend it to anyone looking for a dentist in Colindale.
I am doing a clear aligners treatment, and so far it is going very good. Dr Raj and the whole team, Aleksa, Luis, are very professional, in a calm and friendly atmosphere. Easy to arrange appointments. I totally recommend it.
Just over a year ago I went in, quite self conscious about my wonky teeth. After consultations and speaking me through the process, Dr Aman was able to help me choose the best approach that I felt comfortable and confident in getting my teeth straightened. I had my braces for a year, with a lot of support throughout the entire process making it easier. After my braces were taken off, I couldn’t stop smiling! My confidence is back and I can’t thank Dr Aman and the team enough. Couldn’t be happier with the results!
Expert dentistry! Have a great team, everyone is friendly and everything is explained at a patient level. Had my implant, onlay and teeth straightened. Very happy with the service, thank you 🙂 – wanted to keep this practice a secret 🙂
Composite Bonding in North London and Kent
Are you ready to experience the convenience and elegance of composite bonding at COCO
Dental? Speak to us today to arrange your consultation.