Recently moved to the area, so wanted a local dental practice. Brilliant service from Dr Faizan and the rest of the team here are great – super friendly and professional. Would highly recommend.
Same Day Teeth
Full Mouth Implant
All-on-4/6
From £7,995 or £166.50 per month
See Price GuideFree Implant Consultation
A Structure for Your Smile
If you’re resigned to a lifetime of wearing dentures, uncertain about whether your smile will stand up in social situations or whether your next meal will be too much for your replacement teeth, there is another option.
Same-day teeth and All-on-4s surpass dentures in many ways. While dentures clip to or balance on existing teeth and soft tissues, this alternative goes much deeper.
This revolutionary treatment uses dental implants to anchor your smile to your jaw. Your bespoke, natural lab-crafted teeth are held in place by a series of precision titanium implants, each firmly rooted in your bone.
The result is a flawless smile and teeth you can count on at every mealtime. Best of all, our expert team can carry out the initial stage of this life-changing procedure in as little as one day.
BOOK FREE CONSULTATION
Precision Smile Planning
Angle and placement are everything. By angling your implants at between 15-45 degrees, we will use more of the jaw and create stability across the entire smile. By placing four to six implants across an arch, we can replace an entire row of teeth, giving them a stable base.
Each implant is precision-engineered using titanium —a lightweight material built for stability and durability. Titanium is biocompatible, and your implants will fuse with your jawbone through a process called osseointegration. This fusion ensures your ability to bite and chew feels completely natural.
We will complete your smile with beautiful custom teeth that nobody will suspect aren’t real. Our technicians take pride in the precision detail they create, and we know you’ll be proud of them, too.
Why Choose Same-Day Teeth?
Smile Sooner
As the name suggests, Same Day Teeth rebuild your smile fast! Although some healing time is required before recieving your final smile, gorgeous provisional replacement teeth mean there is no wait to begin enjoying the benefits of treatment.
Complete Confidence
Your new smile will look great and stay firmly in place. This life-changing procedure gives you the confidence to smile, talk, laugh, and enjoy your favourite meals without a second thought to your teeth.
Connected for Life
When dental implants bond to your jaw, the connection can last for life if maintained well. Once in place, your new smile requires no additional effort than caring for your natural teeth.
A Healthier Smile
Rebuilding your smile improves your oral health. You’ll enjoy a decreased risk of developing gum and jaw complications—even if your initial prognosis appears hopeless.
Dependable Care
Your experience is equally important as the outcomes we create. Count on Dr Manny Matharu, the team, and COCO Dental to deliver top-class dentistry without compromising your comfort.
The ABCs of All-on-4s
Assess
Success comes from planning. To plan your procedure, we need a thorough assessment. We will take detailed scans of your jaws during your initial consultation to evaluate your bone health and overall oral structure.
These high-resolution images allow us to create a comprehensive 3D model of your mouth, ensuring we have all the information needed for optimal treatment planning.
If you’re a good match for treatment, Dr Manny will personally walk you through what to expect. He’ll explain the entire process step-by-step, from the initial preparation to the final reveal of your new smile.
This is your opportunity to ask any questions you may have about the procedure, recovery, or expected outcomes.
BOOK FREE CONSULTATION
Build
Next, we will lay the groundwork for your new smile. This is done in a single day.
Each implant is strategically placed using the latest digital 3D-guided surgery for absolute precision.
You don’t need to worry about discomfort—the process is carried out under gentle sedation provided by medical anaesthetic doctors, so you won’t feel a thing!
Once in position, we will give you a temporary set of teeth to wear until the lab creates your
final smile. Your new teeth will look great and restore your bite. We know you’ll love them, but just wait to see the custom teeth created by our lab’s aesthetics masters.
Complete
Once the lab has created your permanent smile, we will carefully place them during a final appointment. These bespoke teeth are meticulously tailored to your mouth, crafted by our expert technicians who combine artistry with cutting-edge dental technology.
Every detail of the colour, texture, shape, and size will suit you perfectly, ensuring a natural look that enhances your overall appearance.
During this appointment, we’ll make any necessary adjustments to ensure your new teeth fit comfortably and function flawlessly.
Dr Manny will check your bite alignment and make sure you’re completely satisfied with how your new smile looks and feels. Now, all that remains is for you to show the world your beautiful new smile!
BOOK FREE CONSULTATIONReal Patients, Real Lives
What patients say about All-on-4 implants from COCO Dental.
Tom’s Full Mouth Implant Story
Kevin’s Implant Story
It’s Amazing What’s Possible in a Day!
Take a look at COCO patients whose lives have been transformed by All-on-4 implants.
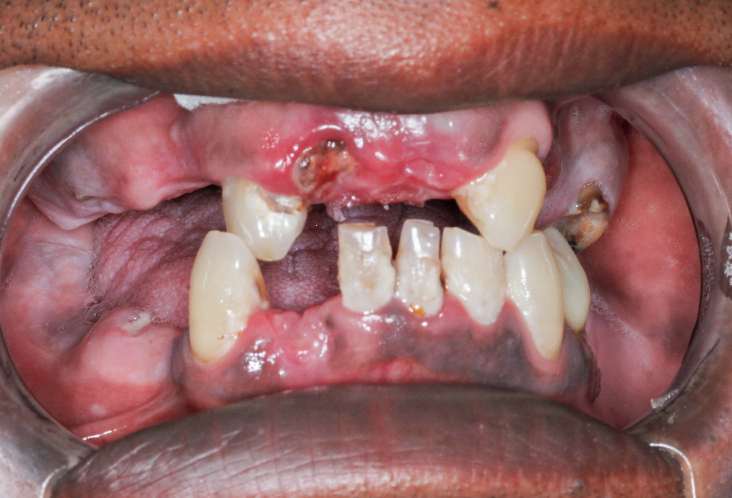
Before
After
All-on-4/6
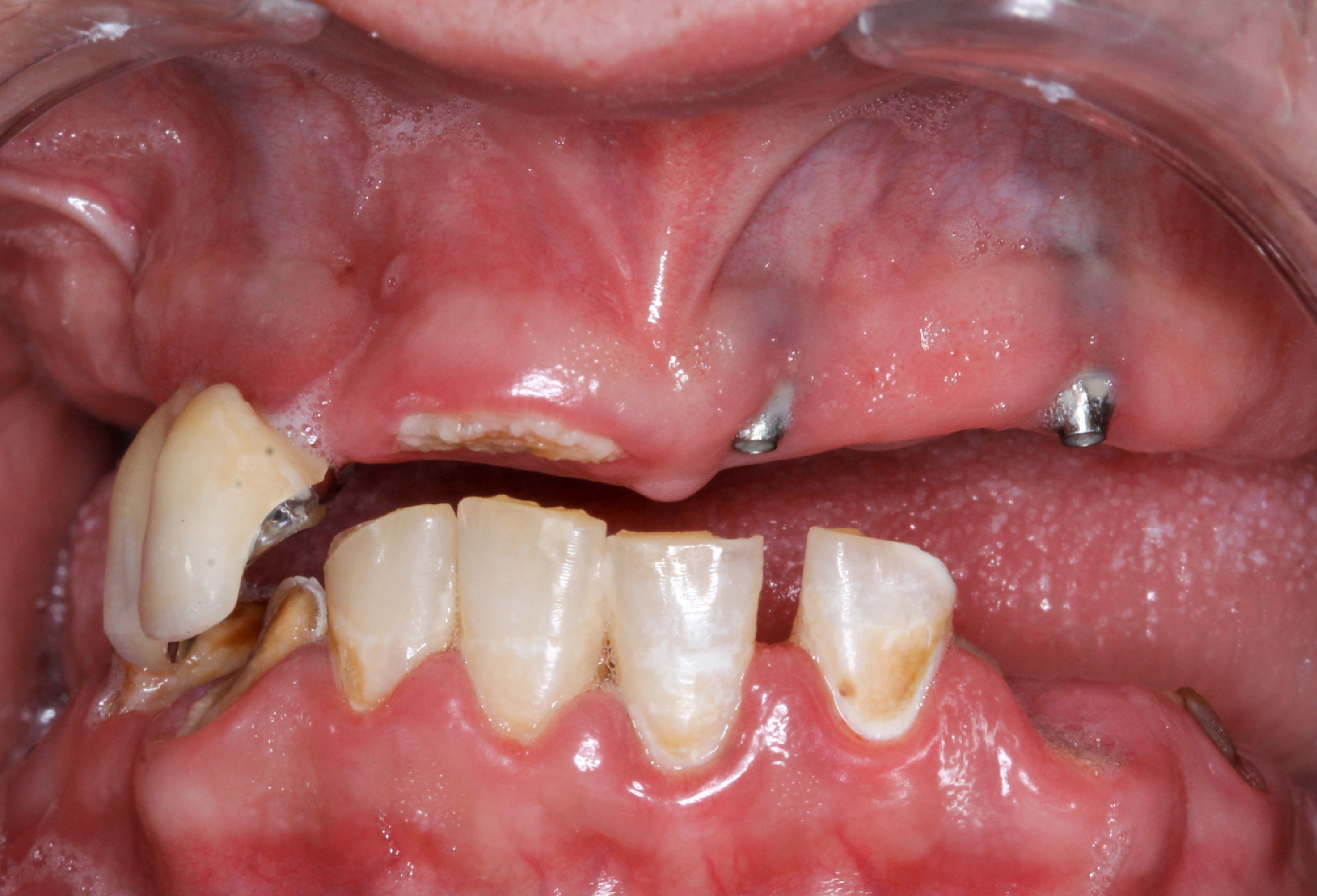
Before
After
All-on-4/6
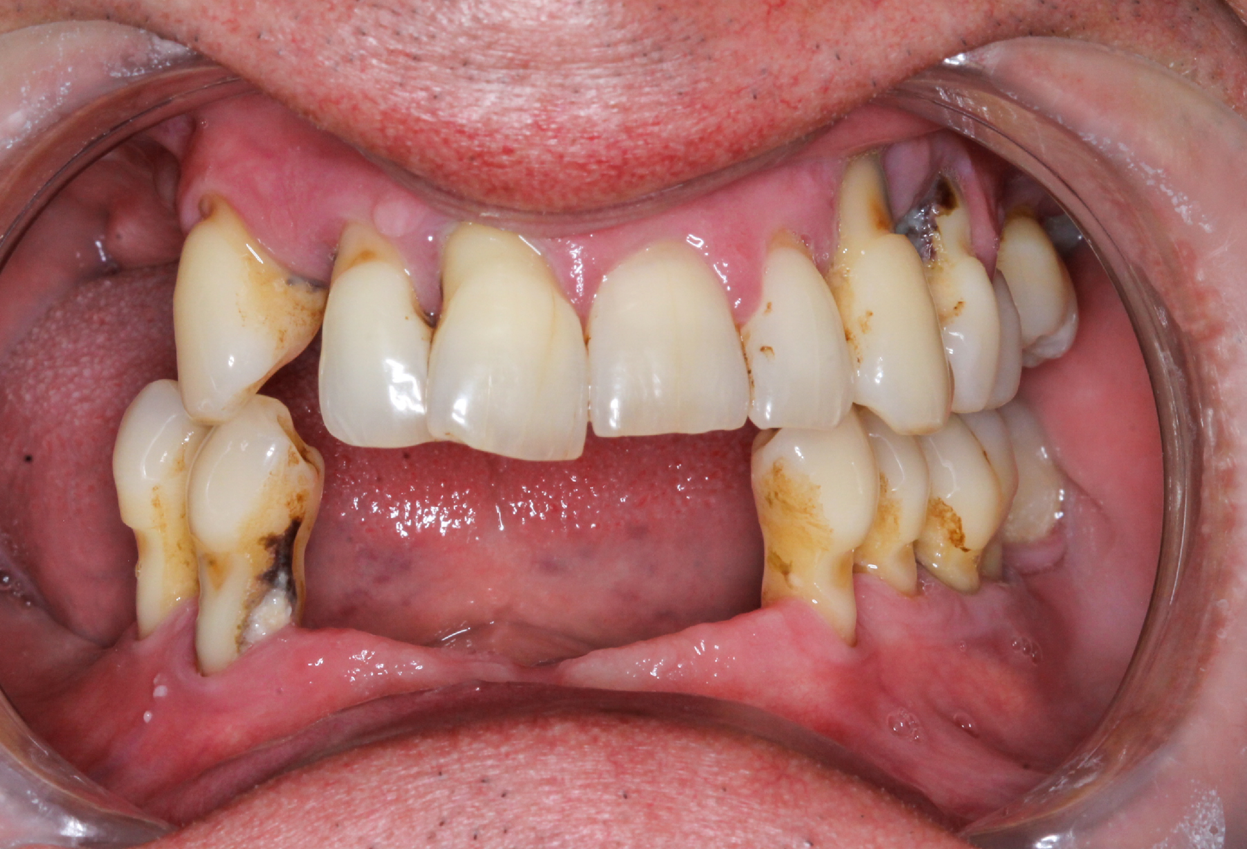
Before
After
All-on-4/6
Before
After
All-on-4/6
Before
After
All-on-4/6
Solutions to Suit You
At COCO Dental, we believe that everyone deserves a confident, beautiful smile. That’s why we’ve developed a range of implant solutions to suit various needs and budgets.
What’s Included
COCO Same Day Teeth
Flexible Finance Options Available
We offer 0% APR finance for up to 12 months, helping you spread the cost of your treatment with ease. Need longer? We also provide extended finance plans of up to 5 years, with competitive rates starting from 9.9% APR — giving you the freedom to choose a payment plan that suits your budget.
COCO’s at the Cutting Edge of Implant Treatment
COCO Dental is the proud home to some of the most state-of-the-art digital implant facilities to be found anywhere in the UK
From the initial scan to the final placement, every step of your implant journey benefits from digital precision and the latest in patient comfort. The result? A faster, more comfortable experience and a smile that’s uniquely yours.
Digital Scanning
Our digital scanners capture a precise 3D image of your mouth quickly and comfortably. This advanced technology is not only more comfortable than traditional dental impressions but also provides us with incredibly accurate data to plan your treatment.
Precision Design
Sophisticated CAD (Computer-Aided Design) software, allows us to customise every aspect of your replacement teeth, ensuring they complement your facial features and meet your aesthetic preferences perfectly.
Smile Preview
Before we begin treatment, you’ll have the opportunity to ‘try on’ your new smile digitally. This innovative feature allows you to see and refine your future look, ensuring you’re completely satisfied with the planned results before going ahead.
Relax with COCO
We offer two levels of sedation at COCO Dental, and you’ll be pleased to know that each offers a completely pain-free and comfortable experience. Our LA local anaesthetic is our signature pain-free anaesthetic delivery system. We also offer gentle sedation to lull you into a relaxed, dreamlike state during treatment.
Guided for Confidence
A state-of-the-art digitally guided surgery provides unparalleled accuracy and peace of mind. This advanced technology allows us to place your implants with absolute precision and confidence.
Introducing Sedation
Dentistry
At COCO Dental, we understand that dental procedures can be daunting. That’s why we offer sedation services provided by trained hospital clinicians.
This advanced approach ensures you remain comfortable and relaxed throughout your Same Day Teeth procedure.
Our sedation options are tailored to your needs, allowing you to undergo treatment with peace of mind. Whether you prefer mild relaxation or a deeper level of sedation, our experienced team will guide you through the process, ensuring your comfort every step of the way.
Why Choose Sedation?
Aaand Relax…
Sedation allows you to relax completely, transforming potentially stressful procedures into calm, comfortable experiences.
Time Flies with Sedation
Sedation can make lengthy treatments feel like they’ve passed in the blink of an eye. You’ll be amazed at how quickly your new smile is ready.
Pain-Free Procedure
With sedation, discomfort becomes a non-issue. You’ll remain blissfully unaware during the treatment, waking to find your new smile already in place.
You Won’t Remember a Thing
For those who prefer not to remember the details of their dental work, sedation often creates an amnesic effect, leaving you with only the memory of your beautiful results.
Tailored to You
Our sedation options are customised to your needs and preferences, ensuring you receive just the right level of relaxation for your comfort.
Don’t Take Our Word For it…
See why over 500 Patients have given COCO Dental 5-Star ratings on Google
Absolutely fantastic dentist. My family use this practice and Dr Manny and the Nurses are very professional. What was a big procedure felt absolutely painless. Excellent dentist.
Dr Aman and Amber are amazing and very professional.. I had braces to straighten my teeth. The whole process took just 9 months and I am so happy with the results.
Coco dental were fantastic a few weeks ago, Juliet the receptionist was just so helpful and got me an appointment to see a dentist quickly. All necessary forms were sent to me to complete online and the actual appointment was really efficient, the dentist Dr Aman and her nurse were lovely. I can highly recommend this practice, thank you so much xxx
The team at Coco Dental are the most friendly and professional dental practice I have been to. Special thanks to Faizan for his excellent expertise and Aleksa for her thoroughness, they both made me feel very confident for the upcoming Invisalign treatment and knowing that I will be in safe hands!
They’ve helped me from the start to make me gain confidence in my smile and teeth. Dr Aman & Nurse Amber was very helpful from the get go when I had my first appointment spoke me through everything and how it’s going to work all the way through to my final appointment with the finishing touches, thank you to you both for helping me out and gaining a lot of confidence
I wanted to take a moment to express my deepest gratitude to Dr. Rajan for the exceptional care and support he provided during my recent tooth restoration. As someone who is quite sensitive and not always easy to treat, his patience and expertise truly made all the difference. My restored tooth feels amazing, and I am incredibly thankful for his skillful hands and compassionate approach.
Had a brilliant experience with orthodontic work thanks to Dr Aman and Amber. The process was very smooth and they answered any questions I had a waylaid any fears. Would highly recommend.
I wanted to take a moment to express my deepest gratitude to Dr. Rajan for the exceptional care and support he provided during my recent tooth restoration. As someone who is quite sensitive and not always easy to treat, his patience and expertise truly made all the difference. My restored tooth feels amazing, and I am incredibly thankful for his skillful hands and compassionate approach.
Superb treatment from Sall and her team. Nervous patient but put me at ease as so friendly and caring. Thank you
My appointment here was excellent and went as smooth as possible. Registering as a new client and getting an appointment arranged was extremely quick and there was decent availability for picking time slots. In the appointment itself, I was treated well and the staff kept me calm through the teeth cleaning as I had particularly sensitive teeth in that checkup. Would definitely recommend for a fast, good experience at a professional Dentist :)
You will not be disappointed by this practice . Juliet on reception goes above and beyond to make you feel at ease and comfortable. She is kind and patient and goes the extra mile to try her hardest to get you an appointment. She makes a daunting experience more comfortable.and has been fabulous with my mum.
Receptionists warm and friendly and welcome you on arrival. My Dentist Yasmin and her support assistant were fantastic doing fillings that took quite sometime. Yasmin spoke to me through the dentistry treatment and as a bonus some of her singing!
COCO Dental made my dental implant procedure feel like a breeze, because of the exceptional expertise, care and communication I received every step of the way from their super-friendly team. Plus I have a shiny new tooth. I’d highly recommend!
The entire Coco Dental team are incredible. They’re the first practice that I’ve felt truly comfortable and safe in. My first experience with them was the quickest, pain free extraction ever. I later went on to have composite bonding done by Dr Rajan and the results were fantastic. A complete smile transformation. Thank you so much to the team at Coco for making my experience so wonderful.
Dr Aman and Amber are amazing and very professional.. I had braces to straighten my teeth. The whole process took just 9 months and I am so happy with the results. You learn more when things don’t go to plan and a few times my brackets fell off or broke. I could email and they would fit me in asap to fix the problem. For the amount of hours of professional time you have throughout the process, makes the prices very reasonable. My only suggestion is to make the teeth whitening thats offered at the end of the treatment discounted for your clients. Have recommended to friends and family. The wife has already booked up!
Same Day Teeth in North London and Kent
Same Day Teeth is a revolutionary technique that gives you the perfect smile that won’t let you down. Best of all, there’s no wait. Get in touch to book your consultation today.