Brilliant care and attention to my teeth very professional and understanding thank you⭐️
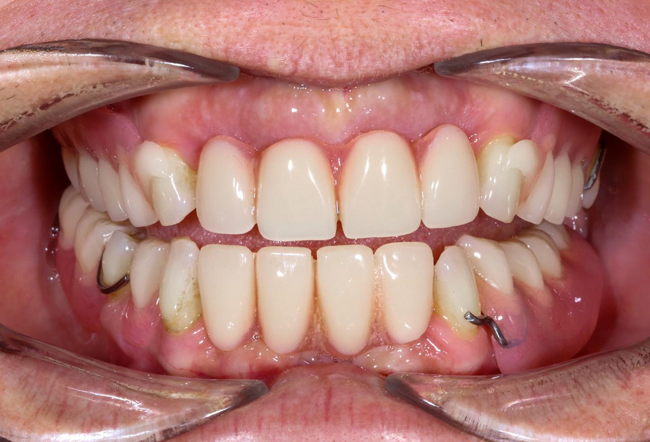
Smile Gallery
GET IN TOUCH WITH USGallery
Before
After
Dentures
Don’t Take Our Word For it…
See why over 500 Patients have given COCO Dental 5-Star ratings on Google
Visited COCO Dental Practice today and I was so impressed by the improvements made to the surgery. Every member of staff were first class. I was treated efficiently and effectively, with respect, dignity and humour. The receptionist went out of their way to ensure my safety on leaving the practice too.
Visited COCO Dental Practice today and I was so impressed by the improvements made to the surgery, Every member of staff were first class. I was treated efficiently and effectively, with respect, dignity and humour. The receptionist went out of their way to ensure my safety on leaving the practice too.
I wanted to take a moment to express my deepest gratitude to Dr. Rajan for the exceptional care and support he provided during my recent tooth restoration. As someone who is quite sensitive and not always easy to treat, his patience and expertise truly made all the difference. My restored tooth feels amazing, and I am incredibly thankful for his skillful hands and compassionate approach.
COCO Dental made my dental implant procedure feel like a breeze, because of the exceptional expertise, care and communication I received every step of the way from their super-friendly team. Plus I have a shiny new tooth. I'd highly recommend!
Had a brilliant experience with orthodontic work thanks to Dr Aman and Amber. The process was very smooth and they answered any questions I had a waylaid any fears. Would highly recommend.
I wanted to take a moment to express my deepest gratitude to Dr. Rajan for the exceptional care and support he provided during my recent tooth restoration. As someone who is quite sensitive and not always easy to treat, his patience and expertise truly made all the difference. My restored tooth feels amazing, and I am incredibly thankful for his skillful hands and compassionate approach.
Dr Aman and Amber are amazing and very professional.. I had braces to straighten my teeth. The whole process took just 9 months and I am so happy with the results. You learn more when things don't go to plan and a few times my brackets fell off or broke. I could email and they would fit me in asap to fix the problem. For the amount of hours of professional time you have throughout the process, makes the prices very reasonable. My only suggestion is to make the teeth whitening thats offered at the end of the treatment discounted for your clients. Have recommended to friends and family. The wife has already booked up!
The entire Coco Dental team are incredible. They're the first practice that I've felt truly comfortable and safe in. My first experience with them was the quickest, pain free extraction ever. I later went on to have composite bonding done by Dr Rajan and the results were fantastic. A complete smile transformation. Thank you so much to the team at Coco for making my experience so wonderful.
Recently moved to the area, so wanted a local dental practice. Brilliant service from Dr Faizan and the rest of the team here are great - super friendly and professional. Would highly recommend.
Superb treatment from Sall and her team. Nervous patient but put me at ease as so friendly and caring. Thank you
I am doing a clear aligners treatment, and so far it is going very good. Dr Raj and the whole team, Aleksa, Luis, are very professional, in a calm and friendly atmosphere. Easy to arrange appointments. I totally recommend it.
Absolutely fantastic dentist. My family use this practice and Dr Manny and the Nurses are very professional. What was a big procedure felt absolutely painless. Excellent dentist.
Coco dental were fantastic a few weeks ago, Juliet the receptionist was just so helpful and got me an appointment to see a dentist quickly. All necessary forms were sent to me to complete online and the actual appointment was really efficient, the dentist Dr Aman and her nurse were lovely. I can highly recommend this practice, thank you so much xxx
I’ve had a great experience with my braces treatment! The process has been smooth, and I’m so happy with the end result
Just over a year ago I went in, quite self conscious about my wonky teeth. After consultations and speaking me through the process, Dr Aman was able to help me choose the best approach that I felt comfortable and confident in getting my teeth straightened. I had my braces for a year, with a lot of support throughout the entire process making it easier. After my braces were taken off, I couldn’t stop smiling! My confidence is back and I can’t thank Dr Aman and the team enough. Couldn’t be happier with the results!
Start Your Journey with COCO
COCO Dental has 500+ Google reviews and countless happy smiles! Ready to start your journey? Contact us to book an appointment.